KR
ENG
회사소개
제품소개
본어스 시술 사례
본어스 사용 치과 찾기
회사소개
대표인사 소개 및 회사 비전
제품소개
본어스 시술 사례
본어스 시술 사례
본어스 이벤트 및 소식 안내
본어스 사용 치과 찾기
More Implant, More Important
BONE US
본어스 시술 사례
본어스 소식
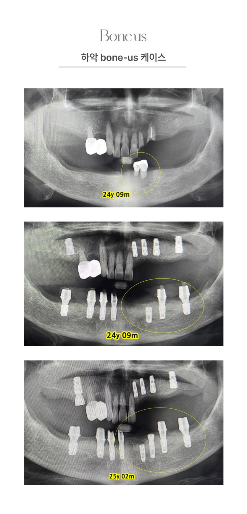
CLINICAL CASE
본어스 시술사례
본문
하악 본어스 케이스 2
이전글
하악 본어스 케이스 3
25.09.01
다음글
하악 본어스 케이스 1
25.06.20